Gülüş Tasarımı

1 gülüş tasarımı - 2

Gülüş Tasarımı estetik diş hekimliğinde ilk akla gelen işlemlerden bir tanesidir.

Çeşitli nedenlerle estetik açıdan görünümü bozulan dişler ve diş etlerinin hastaların yüz şekillerine ve gereksinimleri göz önünde bulundurarak doğal ve daha güzel bir görünüme ulaşmak için yapılan işlemdir.

Her hastanın yüz şekli ve gereksinimleri başkadır. Bu tarz işlemlerde yüz hatları, cinsiyet, yaş ve beklentiler göz önüne alınmalıdır.

Çürük dişler ve diş eti hastalıkları tedavi edilir, diş temizleme işlemleri uygulanır. Sonrasında ise hastaların işlemi ihtiyacına uygun olarak belirlenir.

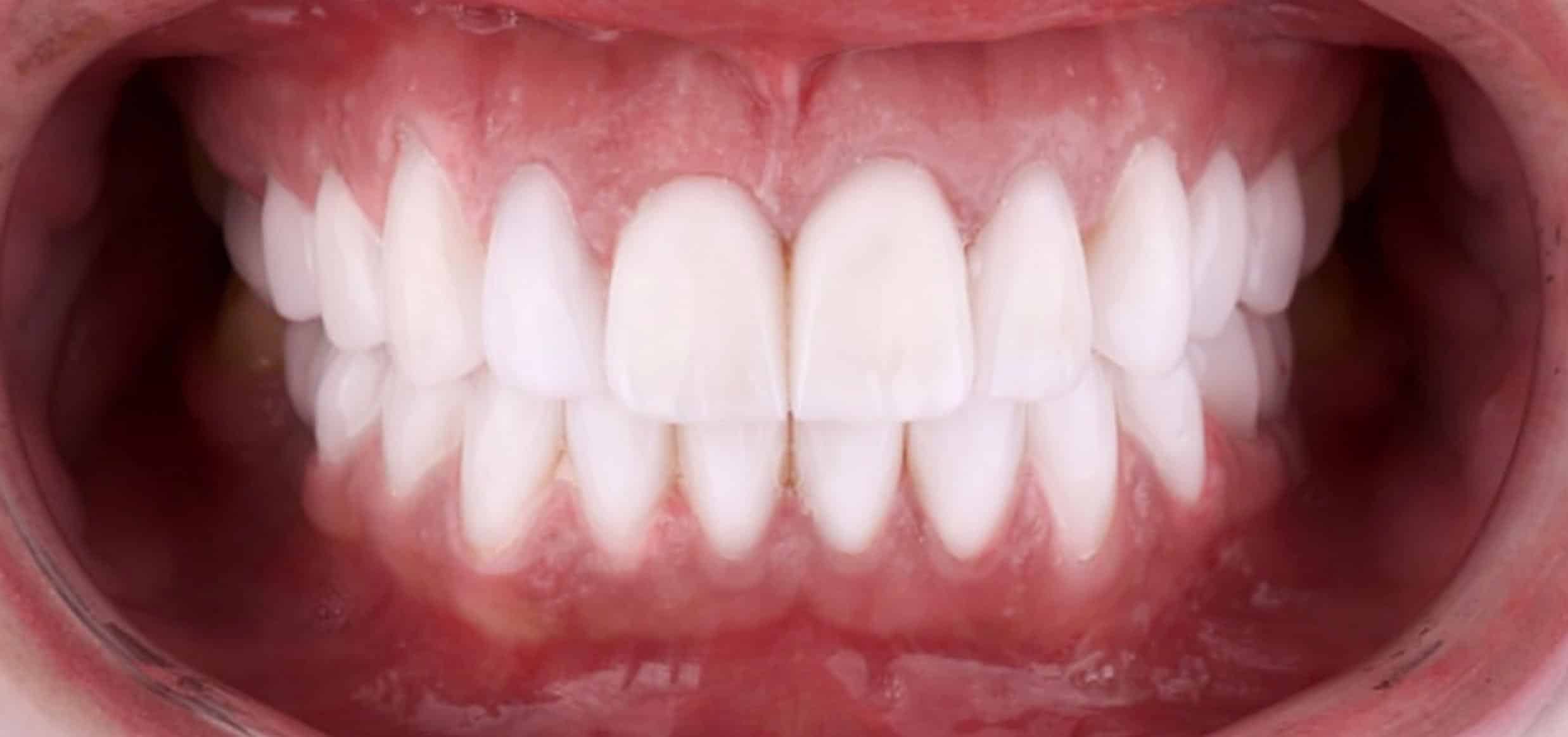
Gülüş tasarımı, diş kusurlarını düzelten, diş sağlığınızı ve görünümünüzü geri kazandıran kozmetik bir diş prosedürüdür. Daha düz, daha beyaz ve doğal görünümlü bir gülümseme için kişiye özel bir tedavi ve uzun süreli sonuçlar içerir.

Gülüş Tasarımında Yer Alan İşlemler

Dişlerimiz zamanla aşınır, çatlar veya renk değiştirir. Ancak gülüş tasarımı size ömür boyu seveceğiniz bir gülümseme verir. İhtiyaçlarınıza ve isteklerinize bağlı olarak aşağıdaki prosedürlerin bir kombinasyonundan oluşabilir:

    • Porselen kaplamalar
    • Diş implantları
    • Kronlar ve köprüler
    • Ortodonti
    • Diş beyazlatma
    • Yapıştırma
    • sakız şekillendirme
    • botoks
    • Juvederm (dermal dolgu maddeleri)

Zirkonyum Gülüş Tasarımı

Zirkonyum kaplama ve diş kusurlarını düzelten, diş sağlığınızı ve görünümünüzü geri kazandıran kozmetik bir diş prosedürü olan gülüş estetiğinin birleşiminden oluşur.

Zirkonyum kaplama sayesinde gülüş tasarımınızı daha etkili, daha dayanıklı hale getirebilirsiniz. Leke tutmayan, Kırılması ve çatlaması zor, Korozyona ve aşınmaya karşı direnci yüksek zirkonyum kaplama ile gülüşünüzü taçlandırın.

Aparat (tray) Uygulaması: Diş beyazlatmada kullanılan maddeleri içeren bir jel ile kaplanmış ve kişiye özel hazırlanan diş aparatlarının evde 30 dakika ile 1 saat arasında takılarak uygulanması ile dişler beyazlatılabilir.

Gülüş Tasarımı Ne Kadar Sürer?

Gülüş tasarımının tamamlanması üç haftadan birkaç aya kadar sürebilir. Hedeflerinize ve öncelikle ele almamız gereken diş sorunlarına bağlıdır.

Hayalinizdeki gülümseme diş implantları gerektiriyorsa, iyileşme için zaman çizelgeniz yaklaşık altı ay ila bir yıla çıkabilir.

Gülüş Tasarımına Aday Olup Olmadığımı Nasıl Anlarım?

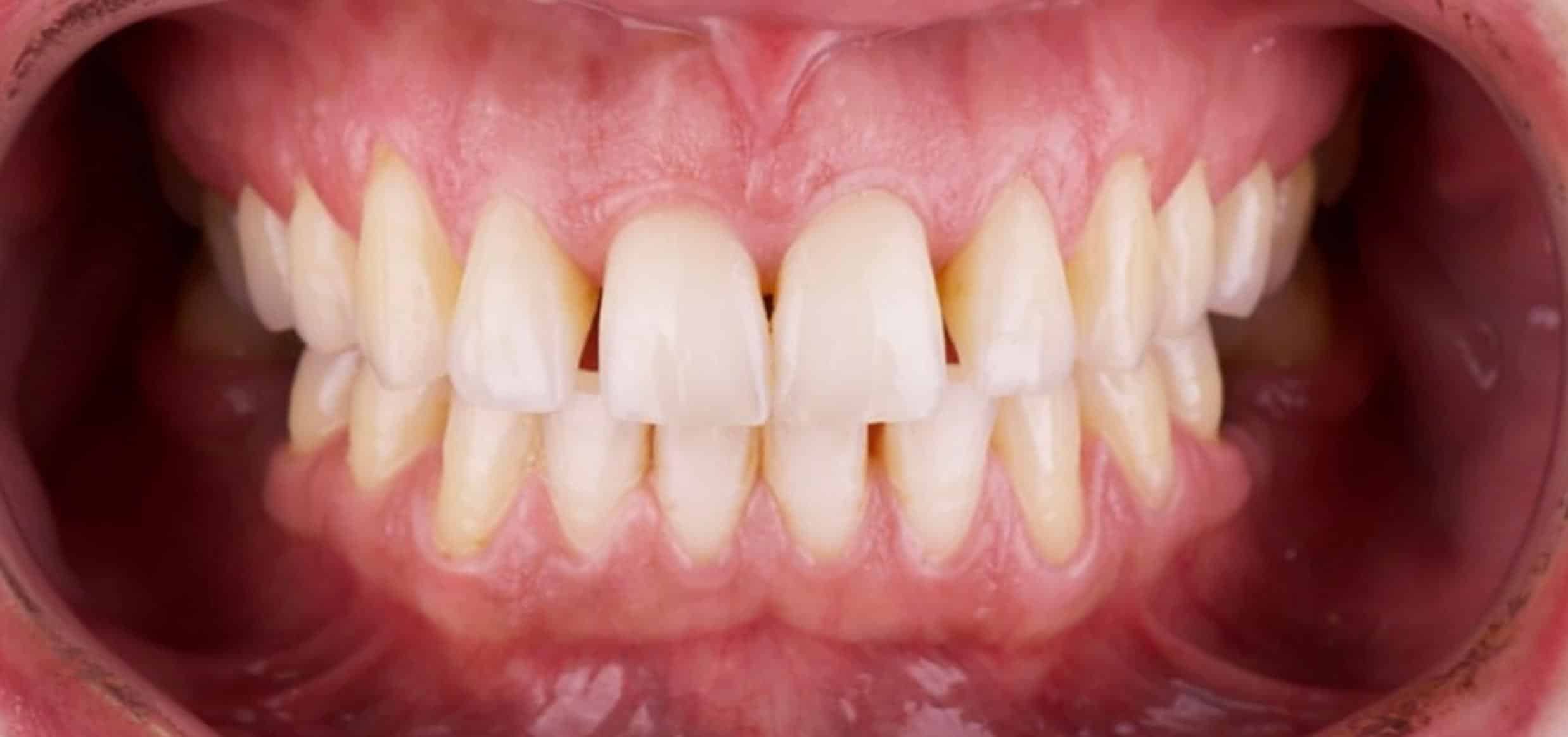
Aşağıdakileri düzeltmek istiyorsanız, gülüş tasarımına adaysınız;

  • Diş renk değişikliği
  • Yontma veya çatlamış dişler
  • Yanlış hizalanmış dişler
  • Sakızlı gülümseme
  • Eksik veya boşluklu dişler
  • Dolgulardan ve kronlardan eski restorasyonlar
  • Genel olarak gülüşün

Gülüş Tasarımı Nasıl Yapılır?

Gülüş tasarımında ilk olarak hastanın estetik beklentileri doğru olarak anlaşılmalı ve ihtiyaçlarına uygun şekilde tamamlanmalıdır. Hasta ağzından alınan ölçüler aracılığa modeller hazırlanır, ağız içi ve yüz fotoğraflarıyla bilgisayar ortamında özel programlar belirlenir ve planlamaları yapılır.

Daha sonra hastaların ağız içi ve yüz fotoğraflarıyla bilgisayar ortamında özel programlar kullanılarak ölçümlemeler yapılır ve yüz şekline uyum hesaplanır. Tedavi sonrasında oluşacak en yaklaşık görüntüler yine programlar ve hasta ağzına aslında uygun duracak sunulur.

Gülüş Tasarımı Hangi Durumlarda Uygulanır?

Diş ve diş etinde görülen estetik bozulmaları, orantısızlık ve diş renklenmeleri gibi sorunlarda uygulanmaktadır. Kişinin dişi için yapılacak herhangi bir tedavi öncesinde de estetik gülüş tasarımına ihtiyaç duyulabilir.

Sıkça Sorulan Sorular

Dudak seviyesi, diş boyları, diş eti seviyesi ve diş rengi oldukça önemlidir.

Hastanın şikayeti ve diş eti yapısına uygun olarak 2 – 15 gün arasında iyileşebilmektedir.

Kişilerin ağız ve diş sağlığının yanında estetik yapılarının da ağız, yüz, yaş ve cinsiyete uygun şekilde yapılanması için yapılmaktadır.

Hizmetlerimiz

Çalışma Saatlerimiz

Pazartesi - Cuma 10:00 - 19:00
Cumartesi 10:00 - 15:00
Pazar Kapalı

Randevu Talebi

Aşağıdaki formu doldurarak randevu talebi oluşturabilirsiniz.