Zirkonyum Kaplama

Feldspathic-porcelain-prescott-az Feldspathic-porcelain-prescott-az

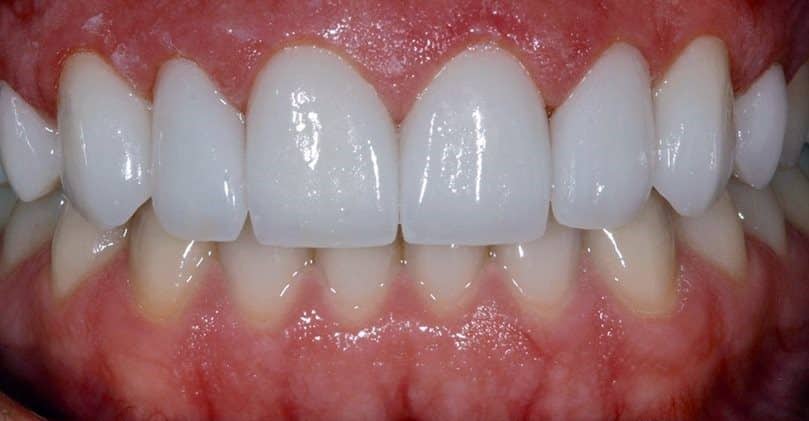
Zirkonyum Kaplama, diş kaplamanın en gelmiş yöntemlerindedir. Klasik metal destekli kron veya köprü protezlerinin gri metali yerine kullanılan beyaz alaşımdır.

Gün geçtikçe metal içeren porselenler kullanımında azalmalar yaşanıyor. Daha estetik, güçlü ve kullanışlı materyale sahip Zirkonyum Kaplama ise yoğun kullanımda.

Zirkonyum esaslı porselenler ise hem ön hem de arka dişlerde kullanılabilecek kadar doğal ve sağlam oldukları için tercih edilmektedir.

Zirkonyum esaslı porselenlerin bir diğer yoğun kullanım sebebi ise doğal ve sağlam olmalıdır. Daha çok ışık geçirgenliği sağladığı için doğal durmaktadır.

Dişin çevresinde küçültmeler yapılarak zirkonyum kuron ile diğer kaplamalara göre daha estetik sonuçlar elde edilir. Diş çevresinde yapılacak küçültmeler dişin özelliği göz önüne alınarak yapılmalıdır.

Zirkonyum Kaplama Neden Yapılır?

    • Zirkonyum kaplama kırık dişlerin düzeltilmesi,
    • Aşırı madde kaybının sonuçlarını gidermek,
    • Renk değişimi olan dişleri iyileştirmek,
    • Ayrık dişlerin estetik bir görünüme kavuşması için yapılır.

Zirkonyum Kaplama Nasıl Yapılır?

Zirkonyum kuron yapılacak dişin şekli ve büyüklüğü dikkate alınarak, yapılacak olan kişinin yüz hatları ile uyumlu olmalıdır.

Abacı Diş ve Estetik Merkezi, zirkonyum kuron kaplama uygulamalarında hizmeti yüksek kaliteli olarak sunmaktadır.

İlk olarak hastaların muayene süreçleri de temel veriler elde edilir. Hazırlıkların tamamlanması için en az 2 – 3 seans muayene uygulanmaktadır. Zirkonyum kuron için diş şekillendirilir, şekillendirme tamamlandıktan sonra diş takılır.

Zirkonyum Kaplama Yaptıranların Avantajları Nedir?

    • Işık geçirgenliği yüksektir ve doğal bir görünüm sunar,
    • Diş etleri ile temas eden metal kısımları yoktur.
    • Daha ışıltılı gülüşler elde edebilirsiniz.
    • Alerjiye sebep olmaz.
    • Çok sağlamdır, kırılma tehlikesi azdır,
    • Estetik olarak diğer kaplamalardan üstündür.

Sıkça Sorulan Sorular

Zirkonyum Kaplama alışmak biraz zaman isteyen bir konudur. Çok iyi yapılmış protezlerde bile bu durum kişiden kişiye değişen bir süreçtir. Bu süreçte hastaların ağızlarına ufak lokmalar alması, dudaklarını açmadan yemekleri yavaş yavaş çiğnemeleri gerekir. Başlangıçta ağızlarının her iki tarafına da lokmayı koyarak iki taraflı çiğnemelerinde yarar vardır.

Protezlerin takıldığı ilk günlerde yumuşak yiyecekler yenmesi önerilir. Protezlerin vuran yerleri varsa bu bölgeler hekim tarafından düzeltilecektir.

Hizmetlerimiz

Çalışma Saatlerimiz

Pazartesi - Cuma 10:00 - 19:00
Cumartesi 10:00 - 15:00
Pazar Kapalı

Randevu Talebi

Aşağıdaki formu doldurarak randevu talebi oluşturabilirsiniz.